香港人喺深圳開嘅牙科診所

香港種一顆牙的钱,深圳可種三顆牙

热线: 0755-28263133

谭辰璋: 132-6682-7311

邮箱: ymtang2025@163.com

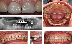
主页>種牙案例>种植案例

咨询/预约/24H爱牙热线

0755-28263133