
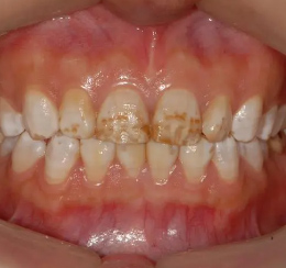
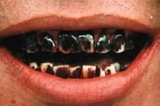
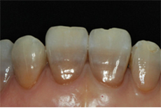
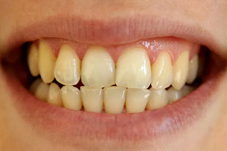
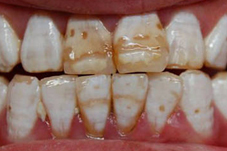
氟斑牙、四环素
牙,牙齿颜色异常

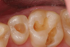
牙缝大,说话
漏风,工作漏财

牙齿咀嚼功能降低
加大肠胃负担

牙齿过小影响颜
值、发音、呼吸
社交恐惧
缺乏自信
形象打折
自尊受挫
拍照严肃
01收集顾客资料
02收集顾客资料
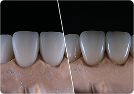
03确认修复方案
04比色备牙
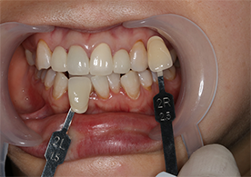
053D数码口扫
063D数码口扫
07形态颜色调整
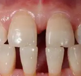
08试戴粘接完成修复

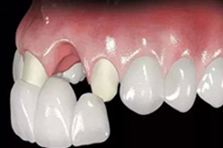
洋铭堂口腔仿真修复 含牙贴面、全瓷冠、嵌体仿真修复等。通过融合DSD美学 设计、颜面设计、红白美学等牙科美学理念,结合牙科技术,结合牙齿形态、色泽、功能进行综合设计,重塑完美笑线。其拥有的加工站配备数字化修复设备,实现椅旁修复的医技患配合模式,缩短了修复时间,从取像,到设计,再到研磨完成,可让顾客患者全程可视、亲自参与到修复方案定制。
口扫取模,舒适快捷
3D预览,预知效果
进口德国VHF雕铣机